أعراض سرطان الفك بالصور

برعاية sponsered by
أعراض سرطان الفك بالصور

أعراض سرطان الفك بالصور

يعد الكشف المبكر عن سرطان الفك العامل الأساسي في علاجه، وللتمكن من تشخيصه لا بدّ من التعرف على أبرز الأعراض المرتبطة به، اكتشف من خلال ما يأتي أهم أعراض سرطان الفك بالصور:

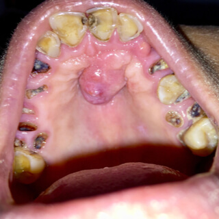
1. تورم في الفك

1. تورم في الفك

يعد تورم الوجه أو الحنك أو منطقة الفم كاملةً من أعراض سرطان الفك الأولية، وقد يظهر التورم على جانب واحد من الوجه، وقد يحدث داخل الفم وتلاجظ تورمًا في سقف الفم أو أسفل الأسنان اعتمادًا على مكان الورم، ومن المحتمل بأن يكون نمو الورم داخل عظام الفك سببًا لظهور التهابٍ يتم من خلاله الكشف عن السرطان.

2. ألم في الفك

2. ألم في الفك

تنتشر الأورام الخبيثة في الفك لتصل إلى أجزاء كبيرة من عظام وأنسجة الفم، وتتسبب الأورام العدوانيّة في إزاحة الأسنان من مكانها، مما يؤدّي إلى الشعور بألم في الفك، وينصح عند ملاحظته الذهاب فورًا للطبيب للتاكد من سبب الألم، وتحديد مصدره، وإجراء التدابير اللازمة للتشخيص، ثم تحديد خطة العلاج المناسبة.

3. كتل على الفك

3. كتل على الفك

تظهر هذه الكتل غالبًا في سقف الفم أو على طول خط اللثة، وقد يكون الشعور بوجود كتلة أو ظهورها علامة على تطور السرطان في عظام الفك الموجودة أسفل الأنسجة الرخوة في الفم، ومن المفترض في حال الشعور بوجودها وعدم غيابها مراجعة الطبيب للتأكد من نوعها، فقد تكون ناتجة عن إصابتك بعدوى ما أو قد تكون ورمًا حميدًا ويمكن حلّه.

4. حركة الأسنان

4. حركة الأسنان

تعد حركة الأسنان غير المبررة من اعراض سرطان الفك، وتعد من أكثر أنواع سرطان الفك الخبيث شيوعًا، وقد تلاحظ أيضًا أن أسنانك تتخلل أو أضبحت فضفاضة أو تتحرّك عن لمسها وقد تغيّر مكانها فجأة دون الشعور بذلك، وقد يتسبب الورم أيضًا في دفع الأسنان لتخرج من مكانها.

أعراض سرطان الحلق الصلب

أعراض سرطان الحلق الصلب

يعرف هذا النوع من سرطان الفك بسرطان الحلق الصلب، يمكن الكشف عنه بسهولة من خلال الأعراض المصاحبة له ومن أبرزها:

  • قرحة في سقف الفم.
  • بقعة حمراء أو بيضاء على سقف الفم.
  • انتفاخ سقف الفم.
  • رائحة كريهه في الفم.
  • ارتخاء الأسنان.
  • ألم حول الأسنان.
  • صعوبة البلع.
  • خدر في الخد والاسنان.
أعراض سرطان الفك السفلي

أعراض سرطان الفك السفلي

عند إصابة الفك السفلي من الفم بالسرطان فإنّه يسمّى سرطان الفك السفلي، يمكن ملاحظته من خلال الأعراض المرتبطة به أيضًا، إليك أبرزها فيما يأتي:

  • تقرحات مؤلمة في الفك.
  • بقع حمراء أو بيضاء في الفم،
  • نزيف متكرر من الفم.
  • رائحة كريهه من الفم,
  • ارتخاء وألم حول الأسنان.
  • تورم بجانب الفك او على جانب الوجه.
  • صعوبة فتح الفم.
  • خدر في الأسنان السفليّة أو الشفة أو منطقة الذقن.
  • صعوبة البلع والكلام. نتوء في العنق.
تشخيص سرطان الفك

تشخيص سرطان الفك

تتلخّص إجراءات التشخيص فيما يأتي:

  • التصوير المقطعي المحوسب.
  • الرنين المعناطيسي.
  • صورة بانوركس للأشعة السينية.
  • الخزعة.
من قبل لبنى هشام