عرض الشرائح: اللبلاب السام وغيره من مهيجات الجلد في موسم الصيف

برعاية sponsered by
اللبلاب السام

اللبلاب السام

ينمو اللبلاب السام على شكل كروم أو شجيرات قصيرة في أغلب أنواع المناخ. تحتوي كل ورقة من أوراق نبات اللبلاب السام على ثلاث وريقات أصغر حجماً. وقد يؤدي لمس أي جزء من أجزاء نبات اللبلاب السام إِلى احمرار الجلد وتورمه وقُرح جلدية وحكة شديدة، وتظهر هذه الأعراض في بعض الأحيان في غضون ساعات بعد التعرض لهذا النبات.

وعادةً ما يزول الطفح الجلدي الناجم عن اللبلاب السام من تلقاء ذاته خلال بضعة أسابيع. وفي هذه الأثناء يُمكن تهدئة التهيُّج الجلدي باستعمال العلاجات الموضعية المتاحة دون وصفة طبية مثل دهان الكالامين. ويُمكن أن يُفيد أيضاً اللجوء إلى الاغتسال بالشوفان واستعمال الكمادات الباردة. وتحدث مع الطبيب إِذا كنتَ تُعاني من طفح جلدي شديد ناجم عن اللبلاب السام أو إِذا كان الطفح يتضمن الوجه أو المنطقة التناسلية.

ويُسبب البلوط السام والسُماق السام وقشرة ثمار المانغو طفحاً جلدياً مشابهاً.

عشبة الخنازير

عشبة الخنازير

عادةً ما تزهر نباتات عشبة الخنزير في فصل الخريف في الولايات المتحدة الأمريكية. ويُعد غبار طلع عشبة الخنزير السبب الرئيس وراء الإصابة بحمى الكلأ (التهاب الأنف التحسسي).

ويُمكن أن يؤدي التعرض إِلى غبار طلع العشبة لدى الأشخاص الذي يُعانون من حساسية عشبة الخنزير إلى الإصابة بطفح جلدي عن طريق التماس المباشر أو غير المباشر المتمثل بالطلع المنقول عبر الهواء. وقد تُلاحظ خطوط حمراء تُسبب الحكة على الجلد أو تورُّم جفون العين. وعادةً ما ينشأ طفح عشبة الخنزير في غضون يومين من وقت التعرض، كما أنه يزول من تلقاء ذاته خلال ثلاثة أسابيع طالما تتجنب المزيد من التعرض لعشبة الخنزير.

ومن وقت الإصابة إلى زوالها يُمكنك السيطرة على الحكة باستعمال دهان مضادة للحكة تتوفر دون وصفة طبية مثل دهان الهيدروكورتيزون والهيستامين عند الضرورة وهو يُتاح دون وصفة طبية. ويُنصح بالتحدث مع الطبيب إِذا كان الطفح الجلدي مؤلم أو إِذا استمر لأكثر من ثلاثة أسابيع.

الجزر الأبيض

الجزر الأبيض

ينمو الجزر الأبيض في المناطق المشمسة بمحاذاة الطرق السريعة في أغلب الأحيان وفي البراري. ويحمل النبات عناقيد كبيرة من أزهار صفراء اللون على جذع سميك. ويُمكن أن تؤدي ملامسة عصارة أو نسغ الجزر الأبيض — والتعرض إِلى ضوء الشمس — إِلى تحسس جلدي يشبه الحروق. وفي غضون يوم واحد بعد التعرض يتحول الجلد إِلى لون أحمر وقد يؤدي إِلى ظهور نفاط مؤلمة. وفي حين أنه يمكن عدم ملاحظة التفاعلات الخفيفة قد تؤدي التفاعلات الشديدة إِلى تبقع الجلد لأشهر أو سنوات.

ويُمكنك تهدئة المنطقة المتأثرة باستعمال قماشة بارة ورطبة أو المرطبات الجلدية. وتحدث مع الطبيب إِذا كان التفاعل مؤلم أو إِذا كانت النفاط شديدة أو استمرت لأكثر من أسبوعين.

طفح الحر (الدُخنية)

طفح الحر (الدُخنية)

ينشأ طفح الحر أو الحصف الجلدي عندما تقوم أقنية العرق التي تُعاني من الانسداد بحبس العرق تحت الجلد. تبدو الدُخنية الحمراء (A) وهي نوع من أنواع الطفح الجلدي كعناقيد من البثور التي تشبه النفاط، فهي حمراء اللون ويُمكن أن تُسبب الحكة. أما الدُخنية البلورية (B) فهي نوع آخر من طفح الحر وتظهر على شكل بثور مليئة بالسوائل.

ولا يُعد الطفح الجلدي خطيراً، وعادةً ما يزول بسرعة عندما تبرد المنطقة المتأثرة. ويمكن تقليل التعرق عن طريق البقاء في الأماكن التي تُزوَّد بمكيفات الهواء أو باستعمال المراوح لتدوير الهواء. ارتدِ ملابس خفيفة وقلل النشاط البدني الشديد. ضع الكمادات الباردة على المناطق المتأثرة أو اجلس في حوض الحمام المملوء بالماء البارد لتخفيف الإزعاج إِلى أقصى حد ممكن.

الطفح الضوئي متعدد الأشكال

الطفح الضوئي متعدد الأشكال

الطفح الضوئي متعدد الأشكال هو عبارة عن طفح جلدي سببه حساسية لضوء الشمس (التحسس الضوئي). ففي غضون ساعات من التعرض لأشعة الشمس — عادةً في الربيع أو في أبكار الصيف — قد تُلاحظ طفح جلدي أحمر اللون يُثير الحكة ويقتصر على المناطق المكشوفة لأشعة الشمس. وتظهر البقع في أغلب الأحيان على القسم الأعلى من الصدر والرقبة والقسم الخلفي من الذراعين.

وعادةً ما يختفي الطفح الجلدي من تلقاء ذاته خلال بضعة أيام على الرغم من أن الحالة يُمكن أن تحدث مرةً أُخرى. وفي هذه الأثناء ما عليك إِلا تقليل التعرض لأشعة الشمس وارتدِ ملابس واقية من أشعة الشمس بالإضافة إِلى وضع الواقي من الشمس. وقد يُفيد استعمال الدهان المضادة للحكة التي يُمكن شراؤها دون الحاجة إِلى وصفة طبية في تخفيف الإزعاج. وفي حال كان الطفح الجلدي شديد أو مؤلم فلا بُدَّ من التحدث مع طبيبك.

السعفة المبرقشة

السعفة المبرقشة

السعفة المبرقشة هي عبارة عن التهاب فُطري يُسبب ظهور بُقع جلدية حائلة اللون. وغالباً ما تشيع السعفة المبرقشة في الطقس الدافىء والرطب. وقد تُسبب الرقُع الجلدية — التي قد تكون بيضاء أو بنيَّة أو حمراء أو سوداء مائلة للرمادي— الحكة الخفيفة وتُلاحَظ على الأغلب بعد التعرض لأشعة الشمس. وعادةً ما تنشأ هذه البُقع على الظهر أو الصدر أو الذراعين لدى الأشخاص البالغين واليافعين، أما لدى الأطفال فعادةً ما تؤثر السعفة المبرقشة على الوجهِ.

وتتضمن المعالجة الدهان المضادة للفطريات أو المرطبات أو الشامبوهات التي تُتاح جميعها دون وصفة طبية. ويُمكن أن يظل لون الجلد متفاوتاً لأشهر لكن يُمكن أن يعود الالتهاب — خاصة في الطقس الدافىء والرطب.

حكة السَّباح

حكة السَّباح

حكة السَّباح هي عبارة عن طفح جلدي تُسببه طفليات من نوع مُحدد تعيش في العادة على طيور الماء وحلزونات المياه العذبة. ففي الأيام الدافئة والمشمسة — لاسيِّما في بحيرات وبركات المياه العذبة الهادئة — تدخُل تلك الطفيليات المياه، وعنما تسبح في المياه تتسرب تلك الطفيليات إِلى داخل جلدك، وسرعان ما تموت هذه الطفيليات — بعد أن تترك بقع حمراء مرفوعة تُسبب الحكة على جلدك.

وعادةً ما تكون حكة السَّباح خفيفة وتزول لوحدها في غضون أسبوع. ولحين زوالها يُمكنك السيطرة على الحكة باستعمال المراهم المضادة للحكة المتاحة دون وصفة طبية مثل مرهم الهيدروكورتيزون. لكن إِذا كانت الحكة الاستهلالية شديدة فيمكن أن تُسبب السحل والالتهابات جلدية، لذا تحدث مع الطبيب إِذا استمرت الأعراض لديك لأكثر من ثلاثة أيام.

عضات القِذَّان

عضات القِذَّان

القِذَّان هي عبارة عن عُثّة متناهية الصغر تتواجد في الحشائش الطويلة والأدغال. وعند مس النباتات المصابة فقد تلتصق القِذَّان بأكمام بنطالك أو قميصك وتجد طريقها لتنفذ عبر جلدك. ويسقط القِذَّان بعد بضعة أيام مُخلفاً عناقيد من البثور الزهرية اللون التي تُسبب الحكة. ويُمكن أن تصبح عضات القِذَّان عند خدشها حمراء وقشرية.

وتشفى عضات القِذَّان عادةً من تلقاء ذاتها في غضون أسبوع واحد إِلى إثنين. ويُنصح بفرك المنطقة بقوة باستعمال الصابون والماء لإزالة العث. ويمكن السيطرة على الحكة باستعمال مرطب الكالامين أو أي دهان مضادة للحكة متاحة دون وصفة طبية مثل مرهم الهيدروكورتيزون. وقد يفيد وضع الغلاف البلاستيكي حول المنطقة التي تُعالج بمرهم الهيدروكورتيزون في تهدئة الحكة.

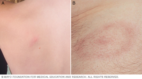
مرض لايم

مرض لايم

مرض لايم هو عدوى تنقلها القراد ويُسبب طفح جلدي مُتميز وأعراض تشبه تلك التي تترافق مع الانفلونزا وألم المفاصل. ويبدأ الطفح الجلدي على شكل انتفاخ صغير أحمر اللون (A) يظهر بعد التعرض للدغة القراد. وعلى مدار الأيام القلائل التالية يتوسع الاحمرار ليشبه عين الثور (B). وتتضمن الأعراض القليلة الأُخرى التي قد تترافق مع الطفح الجلدي الحمى والإرهاق والصداع

فإذا كُنتَ تشتبه بأنك تعرضت لعضة القراد وكُنتَ تُعاني من علامات وأعراض مرض لايم عليك الاتصال بالطبيب على الفور، ذلك لأن البدء المبكر بالمعالجة يؤدي إِلى أقصى مستويات الفاعلية العلاجية. وفي حال عدم تلقي المعالجة — حتى وإن اختفت العلامات والأعراض من تلقاء ذاتها — يُمكن أن يُسبب مرض لايم مضاعفات خطيرة تؤثر على المفاصل وجهاز الأعصاب.

من قبل ويب طب