بالصور: أمور تؤذي أسنانك ويتسبب لك الألم

برعاية sponsered by
ما الذي يؤذي أسنانك ويتسبب لك بالألم؟

ما الذي يؤذي أسنانك ويتسبب لك بالألم؟

هناك العديد من الأمراض والمشاكل التي تواجه الفم عامةً والأسنان بشكل خاص، وتتسبب بالأذى وبالتالي تؤدي إلى ظهور ألم الأسنان، تعرف من خلال العرض المرئي الآتي على أكثر مشاكل الأسنان شيوعًا التي تتسبب في آلام الأسنان:

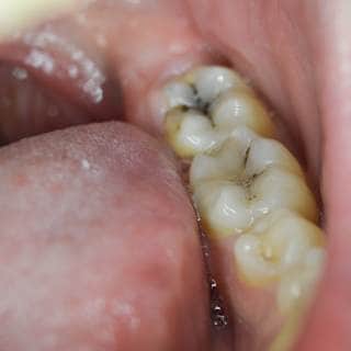
1. تسوس الأسنان

1. تسوس الأسنان

يُعد تسوس الأسنان من أكثر مشاكل الأسنان شيوعًا، وهو عبارة عن إصابة أجزاء من الأسنان بالتعفن الذي قد يتطور الى ثقوب صغيرة أو كبيرة بشكل تدريجي، نتيجة لعدة أسباب وعوامل من بينها: عدم الاعتناء بنظافة الأسنان وتناول الحلويات ومشروبات تحتوي على السكّر. 

2. التهاب عصب الأسنان

2. التهاب عصب الأسنان

عصب السن هو عصب يمتد إلى جذور السن يحتوي على أوعية دموية ونسيج داعم، ومن الممكن أن يصاب هذا العصب بالالتهاب وذلك نتيجة عدوى بكتيرية أو فيروسية، إلا أنه يمتد إلى المناطق المجاورة له وتكمن صعوبة هذا الالتهاب بكونه يمتد إلى منطقة المينا والعاج فيؤدي إلى انحصار الالتهاب ويزيد معه ألم الأسنان.

3. الأسنان الحساسة

3. الأسنان الحساسة

تحدث حساسية الأسنان عند تآكل مينا الأسنان في غياب أي نوع من الحماية للعاج عند تراجع اللثة، حيث تختفي الأنسجة وينكشف عنق السن وعادةً ما يكون ذلك بسبب تلف الأسنان الذي يحدث نتيجة للتسوس أو انحسار اللثة وغيرها من المشاكل، تزداد حساسية الاسنان سوءًا عند تناول المشروبات أو الطعام البارد أو الساخن أو الحلو.

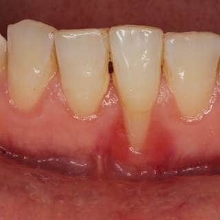
4. مشاكل اللثة

4. مشاكل اللثة

التهاب اللثة عبارة عن تراكم الجراثيم في جوف الفم مّما قد يؤدي إذا لم تتم معالجته بالطريقة الصحيحة إلى فقدان الأسنان، نتيجة للتلف الذي يصيب الطبقة التي تغلف الأسنان إضافةً إلى أنه يتسبب في ظهور الألم.

5. تكسر الأسنان

5. تكسر الأسنان

قد يتسبب تسوس الأسنان على المدى الطويل إلى تكسر أجزاء من السن دون أن يشعر المريض ومع استمرار المرض وعدم العناية والعلاج قد يؤدي إلى فقدان السن بشكل كامل مما قد يتسبب بالألم أثناء ذلك.

6. صرير الأسنان

6. صرير الأسنان

إن صرير الأسنان والشد عليهم وعلى الفك أثناء النوم دون أن تشعر قد يتسبب بألم في الفم والأسنان والفك عند الاستيقاظ وخلال ساعات النهار، لذا إذا كنت تعاني من هذه المشكلة فيجب عليك استشارة الطبيب لتجنب تفاقم الأمر للأسوء.

من قبل منى خير