تعرف على أمراض اللثة بالصور

برعاية sponsered by
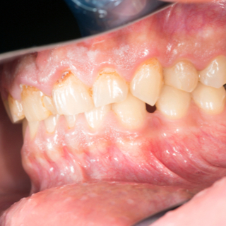
أمراض اللثة بالصور

أمراض اللثة بالصور

تعرف أمراض اللثة بأنها عدوى خطيرة في اللثة، سببها النمو الزائد للبكتيريا في الفم، مما يُسبب تلف في الأنسجة الرخوة، وقد تُؤدي إلى تدمير العظام التي تقوم بدعم الأسنان وبالتالي فقد الأسنان إن لم يتم علاجها.

تعرف على أمراض اللثة بالصور:

سبب حدوث أمراض اللثة

سبب حدوث أمراض اللثة

يعود السبب الرئيس في ذلك إلى تراكم البكتيريا، بالإضافة إلى بعض العوامل الأخرى، مثل: سوء التغذية، السمنة، التغيرات الهرمونية، الإصابة ببعض الأمراض، الأدوية التي قد تُؤثر على صحة الفم، العادات السيئة مثل التدخين، قلة العناية بنظافة الفم، والوراثة.

أعراض أمراض اللثة

أعراض أمراض اللثة

ومن أبرز الأعراض لأمراض اللثة وجود انحسار في اللثة أو انتفاخها أو احمرارها، نزيف اللثة بسهولة، رائحة فم كريهة، وجود قيح، فقد أحد الأسنان أو نشوء فراغات جديدة بين الأسنان، أو ألم عند المضغ.

تشخيص أمراض اللثة بالصور

تشخيص أمراض اللثة بالصور

يستطيع طبيبك تشخيص ذلك عبر التحقق من بعض الأعراض، مثل: وجود ألم في اللثة، الانتفاخ، أو النزيف عند تنظيف الأسنان، وقد يحتاج الطبيب إلى التحقق من الأسنان باستخدام الأشعة السينية.

علاج أمراض اللثة

علاج أمراض اللثة

يكون العلاج تبعًا للحالة، وفي معظم الحالات يقوم الطبيب بتنظيف الأسنان وإزالة أي ترسبات، وإرشادك إلى الطريقة الصحيحة لتنظيف الأسنان لمنع تكون الترسبات مرة أخرى، أما إن كنت تُعاني من مرض شديد في اللثة فقد يستدعي الأمر اللجوء إلى الجراحة.

الوقاية من أمراض اللثة

الوقاية من أمراض اللثة

من أفضل طرق الوقاية من أمراض اللثة هي الحفاظ على نظافة الفم بتنظيف الأسنان مرتين يوميًا لمدة دقيقتين، واستخدام خيط الأسنان مرة يوميًا على الأقل، بالإضافة إلى زيارة طبيب الأسنان بشكل منتظم كل 6 أشهر إلى سنة، وقد يُساهم الحفاظ على نمط حياة صحي في التقليل من مخاطر أمراض اللثة.

ارتباط أمراض اللثة بمشاكل صحية أخرى

ارتباط أمراض اللثة بمشاكل صحية أخرى

في ظل ظروف معينة قد تُسبب البكتيريا الموجودة في الفم والتي تشق طريقها إلى مجرى الدم مشاكل صحية، مثل: السكتات الدماغية وأمراض القلب، بالرغم من أن هذه البكتيريا نفسها غير ضارة لدى الأشخاص الأصحاء، وعلى صعيد آخر فإن أمراض اللثة قد تزيد مضاعفات مرض السكري.

من قبل هيلدا قواسمي