أنواع حب الشباب بالصور

برعاية sponsered by
حب الشباب

حب الشباب

يحدث حب الشباب بسبب انسداد جريب الشعر بخلايا الجلد الميتة أو الزيوت. تعد حب الشباب من أكثر المشاكل الجلدية شيوعًا عند المراهقين، هناك العديد من الأنواع لحب الشباب منها ما يستلزم متابعة مع الطبيب ومنها تكفي الرعاية المنزلية لعلاجة، ومن هذه الأنواع:

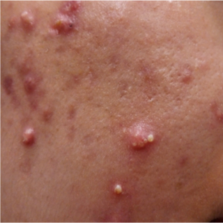
الرؤوس البيضاء

الرؤوس البيضاء

تظهر على شكل نتوء أبيض أو لحمي، تحدث بسبب انسداد المسام بالزيوت والبكتيريا وخلايا الجلد الميتة.

الرؤوس السوداء

الرؤوس السوداء

تحدث الرؤوس السوداء إذا امتلأت المسام بالخلايا الميتة والزيوت ولكنها ما تزال مفتوحة، فيصبح لونها أسودًا بسبب تأكسدها. لا تحاول خدشها أو إخراج ما فيها لأن ذلك قد يؤدي إلى تفاقمها.

علاج الرؤوس السوداء والبيضاء

علاج الرؤوس السوداء والبيضاء

ينصح أطباء الجلدية باستخدام الريتينويد، أو الأدابالين؛ وهي أدوية بدون وصفة طبية تستخدم لفتح المسام. استخدام أيضًا غسول بنزويل بيروكسايد الذي قد يساعد في التخلص من بكتيريا P. acnes المسببة لحب الشباب على بشرتك. استمر في هذا العلاج لمدة 6-8 أسابيع إذا لم تشعر بتحسن راجع الطبيب ليقوم بإجراء تنظيف بشرة لاستخراج الرؤوس السوداء والبيضاء وقد يصرف لك علاجًا أقوى لحد الشباب.

الحطاطات (حبيبات جلدية وبثور مبكرة)

الحطاطات (حبيبات جلدية وبثور مبكرة)

تطهر على شكل نتوءات صغيرة أو صلبة أو حمراء أو وردية على البشرة،وقدد تتجمع لتطهر تلمنطقة كورقة صنفرة خشنة تحدث أحيانًا في مجموعات تبدو وكأنها ورقة صنفرة خشنة. قد تكون في بعض الاحيان مؤلمة، وذلك بسبب أنها ملتهبة ومصابة بالعدوى. وهذا النوع من حب الشباب يعتبر معتدل إلى شديد. 

البثور المتقيحة

البثور المتقيحة

وهي بثور تمتلئ بالقيح - وهو سائل مصفر -وتبدو شبيهة للرؤوس البيضاء بسبب أن لها قمة صفراء أو بيضاء، ولكن هناك حلقة حمراء تحيط برأس البثور. وتكون عادةً أكثر إيلامًا من الرؤوس البيضاء. لا تحاول خدش أو عصر البثور بنفسك، وذلك قد يؤدي لتفاقمها، وزيادة الالتهابات المؤلمة، وظهور الندوب.

عقيدات وكيسات حب الشباب

عقيدات وكيسات حب الشباب

يتغلغل هذا النوع من حب الشباب في طبقات الجلد الداخلية، وعلى الأغلب تتسبب بندبات حب الشباب الدائمة عند التتئامها. إذا كنت تعاني منها، فستحتاج إلى مساعدة طبيب الجلدية لعلاجه، وكلما بدأت العلاج مبكرًا قلت فرص حدوث الندوب الدائمة.

حب الشباب الناتج عن الكمامة (Maskne)

حب الشباب الناتج عن الكمامة (Maskne)

هو نوع جديد من حب الشباب انتشر كثيرًا في هذه الأوقات، وتنجم عن لبس القناع وقد تتفاقم بسبب الضغوطات، وتظهر على الوجه كرؤوس بيضاء أو رؤوس سوداء مكان وضع القناع، كالخدين. يتم علاجها بتجنب وضع المكياج لأنه يسد المسام، أو قومي باستخدام مستحضرات التجميل الغير مسببة للزيوان و الخالية من الزيوت. تجنب استخدام االريتينول والريتينويد، لأنها قد تهيج بشرتك عند ارتداء القناع. استخدم غسولات لطيفة ليست صابونية.

من قبل د. اسيل متروك